Servicios
Servicios Valadéz Radiólogos
Valadéz Radiólogos
Radiología e Imagen
La radiología posibilita a los médicos diagnosticar de manera más precisa y rápida una gran cantidad de enfermedades de una forma mucho menos invasiva que la cirugía exploratoria u otros métodos médicos, es por ello que los radiólogos son muy requeridos en el...
Valadéz Radiólogos
Radiología Digital
La radiografía digital se basa en los mismos principios de emisión de rayos-x y de su interacción con el organismo humano. La diferencia es como atraviesan estos rayos a la materia y como serán capturados y procesados de modo de generar imagen. En este caso, no hay...
Valadéz Radiólogos
Mastografía Digital
Los sistemas de detección asistida por computadora (CAD) utilizan una imagen mamográfica digitalizada que puede obtenerse de una mastografía de película convencional o de una mamografía adquirida digitalmente. El software de la computadora busca áreas anormales...
Valadéz Radiólogos
Ultrasonidos 3D 4D
Los ultrasonidos HD permiten que podamos “ver” al bebé antes de su nacimiento, un avance tecnológico que no existía hace unas décadas y que supone un importante logro en el cuidado prenatal. Contamos con ultrasonidos, en 3D, 4D y 5D. Gracias a los ultrasonidos...
Valadéz Radiólogos
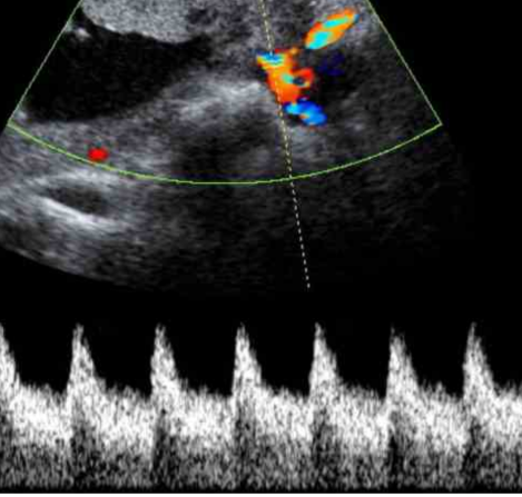
Ultrasonido Doppler Color
Un ultrasonido expone la región de interés del cuerpo a ondas sonoras de alta frecuencia. Las imágenes del ultrasonido son capturadas en tiempo real; eso es, no sólo muestran la estructura de una parte en particular del cuerpo, sino que también pueden mostrar el...
Valadéz Radiólogos
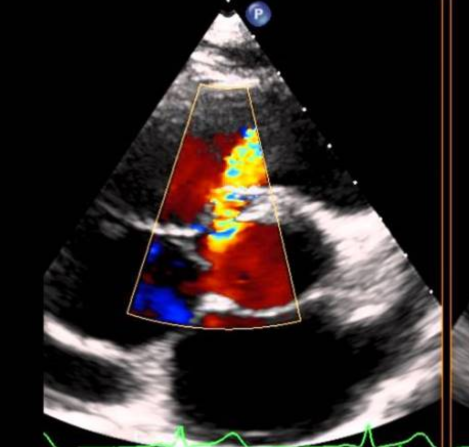
Ecocardiografías
La ecocardiografía emplea ondas sonoras para producir una imagen del corazón y ver cómo funciona. Según el tipo de estudio ecocardiográfico que se realice, puede determinarse el tamaño, la forma y el movimiento del músculo cardíaco. Este estudio también...
Valadéz Radiólogos
Tomografía Axial Multicorte
Una tomografía computarizada (TC) es un tipo especial de rayos X. En lugar de enviar una sola radiografía a través del cuerpo como se realiza en las radiografías comunes, se envían varios haces simultáneamente desde diferentes ángulos. Esto permite construir imágenes...
Valadéz Radiólogos
Radiología Intervencionista
El objetivo de la radiología intervencionista es diagnosticar o tratar patologías con una técnica mínimamente invasiva. Se utilizan imágenes para dirigir los procedimientos radiológicos, que son usualmente ejecutados con agujas, guías y catéteres. Algunos de estos...
Valadéz Radiólogos
Elastografía
Las elastografía utiliza vibraciones de baja frecuencia durante un ultrasonido o una RMN para medir la rigidez (o elasticidad) de órganos internos. Es particularmente útil para detectar la presencia y la gravedad de enfermedades del hígado. Con un procedimiento de...